Я ничего не помню

Рисунок1

botan Дата публикации 11.01.2013 07:42

Техника

Разрешение: 432x511 / размер: 164.69 Кб
 
Рисунок1
 
Оценить: 
 / 0 оценок
Текущая оценка: 0.0
Количество просмотров просмотры: 280
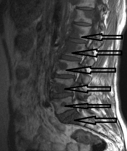
Метастазы опухоли в позвоночник